10年前の開業以来、矯正歯科を担当しておりました富樫久美子先生が、昨年末に他界しました。
3年前からは、ガンと闘病しながらの診療でした。
久美子先生の病状が悪化して以来、あおぞら歯科での矯正の新患受け入れは中止しておりましたが、アライナー矯正(マウスピース)に限り、再開致します。
担当は、富樫理事長です。

健康な歯並びは見た目がいいだけではありません。
正しい噛み合わせは、虫歯や歯周病のリスクを減らします。
それだけではなく、正しい噛み合わせにより、アレルギーや鼻疾患の予防、内臓疾患の予防にもつながるのです。
それでは具体的な当院の矯正治療の考え方をご紹介いたします。
小児の矯正治療
前半と後半の2ステージに分かれています。

前半のステージでは、まず歯が並ぶために必要なスペースを確保します。
つまり、顎骨を広げていきます。
子供の骨はどんどん成長していくので、負担なく骨を大きく広くすることができます。
そして十分歯が並ぶスペースを作り、第一ステージは完成です。

後半のステージでは、歯の位置を理想的なポジションに並べていきます。
歯はスペースさえあれば、簡単に移動して理想的な位置に並べることができます。
この時に使う装置は、皆さんがよく矯正と言われてイメージするマルチブラケット装置(ワイヤー)です。
成人のマウスピース矯正歯科装置(インビザライン)
前半と後半の2ステージに分かれています。

見た目の問題から、よくあるワイヤーでの矯正ができないという人が多いと思います。
特に成人の場合、お仕事の都合など、社会的な問題から矯正したいけど踏み出せないという方が多いのが現状です。
また、あの装置がずっと入っているのが不快だという方もいらっしゃるかと思います。
そういった悩みを解決したのが、マウスピース矯正です。
このマウスピースを1日装着していくだけで、歯が理想的な位置へと動いていくのです。
透明で目立ちにくいだけでなく、食事・歯磨きの際には外しておけるという、大変快適な矯正装置なのです。
歯並びに悩みがある方は、ぜひお問合せください。
歯並び、噛み合わせのお悩みを解消します
医療法人 祐歯会ではさまざまな矯正装置を扱い、お子様から中高年の方まで幅広い方に向けて歯並び・噛み合わせ治療をご提供しています。
治療実績・症例数が豊富で、難症例も含めさまざまなケースに対応可能です。
歯科用CTの導入や院内感染防止のための滅菌機器など、院内設備も充実。
自費診療・保険診療の両方に対応し、万全の体制で患者様のお口の健康をサポートします。
当院では患者さんにご納得いただいてから治療を進めています。
一人ひとりのご要望や事情、症状にもっとも合った治療をご提供するためにカウンセリングを丁寧に行っていますので、歯並びや噛み合わせのことで少しでも気になることがあったら何でもお話しください。
「抜歯をせず歯並びを整えたい」「顔のゆがみを改善したい」といったご相談にも、専門医が丁寧にお答えします。
矯正歯科治療
マウスピース矯正歯科装置(インビザラインシステム)~抜歯不要な患者さんにおすすめ~

マウスピース矯正歯科装置(インビザライン)とは、透明なプレートで歯を少しずつ動かし、不正咬合を治す矯正装置です。
【メリット】
- 透明なマウスピースを使うため目立ちにくい
- 固定式装置にある不快感がない
- 食事のときなどに取り外すことができる
【デメリット】
- 1日20時間前後は装着しないと治療効果が出にくい
インビザラインは歯型の型取りをし、アメリカに空輸します。
そこで歯型はコンピュータ化され、現在の状態、治療後の状態が作られます。
ドクターとインターネットで治療内容などをやりとりし、患者さん個々のプレートが最終段階まですべて作られます。

プレートは2週間毎に新しいプレートに交換します。
非抜歯症例で20~30個、抜歯症例で40~50個のプレートを使用します。
1個のプレートで歯が動く量は0.25mm以下です。
ゆっくりした速度で最終的なきれいな歯並びまで動かします。
保険矯正について

骨格的な受け口(反対咬合)や上顎前突、顔が歪んでいるなどの症状がある場合、「顎変形症」という病名が付き、健康保険を適応して矯正治療を受けることが出来ます。 また、「厚生大臣の指定する疾患」においても保険治療が適応されます。 「顎変形症」の場合、歯牙の移動だけでは適切な咬合や審美が得られないため、外科手術を併用して矯正治療を行います。そのため治療はほとんど骨格的な発育が終了してからになります。
保険矯正が行える医療施設は厚生労働省より「指定自立支援医療機関」に認定された病院のみです。 当法人とがし歯科第2医院では施設基準や診療する歯科医師の経験数など厳しい基準を満たし、認定を受けています。

FLOW1.資料採得・検査
FLOW2.術前矯正
手術前に全額マルチブラケット装置を装着して叢生など歯列の問題を先に治療します。
FLOW3.手術
大学病院・関連病院にて外科手術 10日~2週間ほど入院します。
FLOW4.術後矯正
細かい噛み合わせを整えます
FLOW5.保定期間
全額マルチブラケット装着を除去して保定装置に置き換えます
FLOW6.抜釘外科手術
固定していたプレートを除去します。除去しない場合もあります。

噛み合わせの重要性
噛み合わせはなぜ大事?

医療法人祐歯会では、「健康なお口は健康な噛み合わせから」と考えています。
「矯正治療をすると歯並びの見た目がきれいになる」というイメージがあるかもしれませんが、本当に大事なのは見た目よりもしっかり噛める噛み合わせにすること。
噛み合わせを整えることの大切さを、くわしくお話しします。
MERIT健康な歯が長持ちします
噛み合わせがいいと、強く噛んだときに28本の歯に均等に力が加わり、特定の歯のみに負担がかかることはありません。
しかし噛み合わせが悪いと、一部の歯にばかり力がかかりグラつきや欠けの原因になります。
MERIT虫歯や歯周病になりにくくなります
歯と歯のすき間に食べものがつまりにくくなり、また歯ブラシも行き渡りやすくなります。
汚れがたまりにくくなるため、虫歯や歯周病になる可能性が減るのです。
MERITスムーズに発音できます
お口の中に余計なすき間やスペースがないため、息が漏れたり舌がもつれたりすることがほとんど起こりません。
舌足らずになることも、聞き取りにくい発音なることもないのです。
MERIT顎関節症のリスクが減ります

噛む力が歯全体に均等に加わると、あごの関節にも均等に力が加わります。
左右どちらかに余計な力が加わることがないため、あごの関節の不調から起こる顎関節症になりにくいのです。
MERITあごの状態がよくなります
噛み合わせがいいとあごの健康が保たれます。
反対に噛み合わせが悪いと、噛みにくさを解消するために、あごをずらしてご飯を食べたりするクセが出やすくなって負担がかかってしまいます。
MERIT見た目に自信が持てます

口元の見た目からくるコンプレックスは思っている以上にあなたの気持ちに影を落としているもの。
コンプレックスが解消されると、自分に自信が持てて思いきり笑えるようになります。
歯並びはもちろん、噛み合わせもよくなることで、お口からあご、そしてお顔全体にかけての形がきれいに整うのです。
MERIT胃腸への負担が軽くなります
しっかり噛めると、食べものがより細かい状態で胃に運ばれてスムーズに消化されます。
噛み合わせが悪いと、食べものを「前歯で細かくカットする」「奥歯ですりつぶす」といったことが十分にできなくなり、胃腸に負担をかけてしまうのです。
MERIT偏頭痛・肩こりなどが起こりにくくなります
噛み合わせが悪いとあごやお顔の筋肉をアンバランスに使うようになり、その影響で頭痛や肩こりが起こることも。
噛み合わせがいいとバランスよく筋肉が使われ、偏って負担がかかることがなく、頭痛や肩こりなども起こりにくくなります。
矯正治療の流れ
医療法人祐歯会の矯正治療の流れ
医療法人祐歯会で行う矯正治療の流れをご説明します。
当院では必ず患者さんが納得されることを前提として治療を進めています。
一人ひとりのご要望や事情、症状にもっとも合った治療をご提供するためにカウンセリングを丁寧に行っていますので、気になることや不安なことは何でもお話しください。
なお、当院では衛生的な治療環境をつくることに力を注いでいます。
治療・処置はクリーンな手術室で行い、あらゆる殺菌・洗浄設備を用意し、安心してご来院いただける体制を整えています。

子供のための矯正治療(乳歯列・混合歯列期)
顔の形や歯の噛み合わせは子供時代につくられます。
永久歯が生えそろうまでに歯並びやあごの発達状況をチェックし、必要に応じて治療を行いましょう。
FLOW1.カウンセリング
お口の状態をチェックし、すぐに治療が必要かどうかを判断します。
必要な場合には、大まかな治療内容や費用、期間についてご説明します。
FLOW2.精密検査
お口のくわしい状態を調べるため、レントゲン写真やセファロ写真(頭蓋骨全体)を撮ります。
FLOW3.治療計画説明
精密検査の結果から、くわしい治療内容をご説明します。
FLOW4.装置装着
お子様の症状やお口まわりの成長度合いを見て、もっとも効果を発揮する装置をご提案します。装置を装着し、矯正治療をスタートさせます。
>装置の種類はこちら
FLOW5.調整のための通院
3週間から1ヶ月に一度、通院していただきます。歯の動き方をチェックし、装置を調整してよりスムーズに治療が進むようにコントロールします。
学生のための矯正治療(永久歯列期)/大人のための矯正治療
欧米では、美しく健康的な歯並び・噛み合わせがその人の社会的信頼などにかかわってきます。
日本でも少しずつその考え方が広がってきており、大人になってから矯正治療を行う人が増えてきました。
歯並び・噛み合わせが悪いと、心身にさまざまな影響が出ます。
見た目を気にして思うように笑えなくなったり、噛む力のバランスが悪くて頭痛や肩こりが出たり……早い段階できれいな歯並び・噛み合わせを手に入れておくことで、その後の人生がより明るくなることでしょう。
FLOW1.カウンセリング
お口の中を全体的にチェックします。
治療に使う装置や費用、期間について大まかにご説明します。
FLOW2.精密検査
お口のくわしい状態を調べるため、レントゲン写真・セファロ写真(頭蓋骨全体)・顔貌写真・口腔内写真を撮り、歯型を採取します。
そのうえで詳細な治療計画を立てていきます。
FLOW3.治療計画説明
精密検査の結果から、現在の状態や治療方法、費用、期間など治療計画の詳細をご説明します。
FLOW4.装置装着
治療計画に則って装置を装着し、矯正治療をスタートさせます。
>装置の種類はこちら
FLOW5.調整のための通院
3週間から1ヶ月に一度、通院していただきます。
歯の動き方をチェックし、装置を調整してよりスムーズに治療が進むようにコントロールします。
FLOW6.保定装置装着
歯の移動が終わったら、歯の後戻りが起こらないように保定装置を装着します
2年ほどの保定期間を設け、治療完了です。
症例紹介・患者様の声
医療法人祐歯会の症例紹介・患者様の声
医療法人祐歯会でこれまでに行った矯正治療の症例と患者様の声をご紹介します。
当院は矯正治療をはじめとする歯科治療の実績・症例数が豊富で、難症例も含めさまざまな症例に対応可能です。
歯科用CTの導入や院内感染防止のための滅菌機器など、院内設備も充実。
保険診療にも対応し、万全の体制で患者様のお口の健康をサポートします。
症例紹介
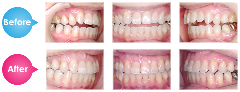
CASE上顎前突
初診時年齢:11歳 上顎2本抜歯 治療期間1年2ヶ月
初診時、下顎の前歯が2本先天欠損でその分上顎の突出感が大きく、前歯2本が飛び出ていました。
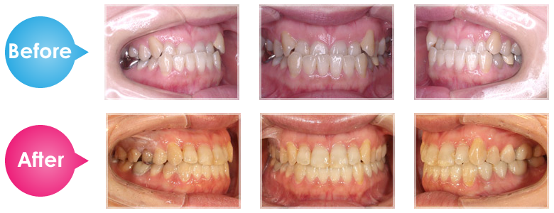
CASE上顎前突
初診時年齢:24歳 動的治療期間:1年10ヶ月 上顎2本抜歯
CASE開咬事例
初診時年齢:29歳 女性 治療期間:2年2カ月 矯正用マイクロインプラント使用 非抜歯
右上側切歯を他院にて抜歯されており、奥歯以外かみ合わない状態でした。
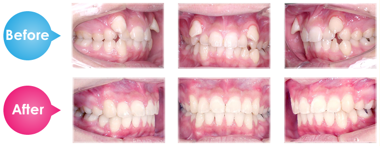
CASE叢生事例
初診時年齢:15歳 男性 動的治療期間:2年2ヶ月 上下顎4本抜歯
CASEマウスピース矯正歯科装置(インビザライン)施術例
初診時年齢:34歳 女性 動的治療期間:1年6カ月 マウスピース矯正歯科装置(インビザライン)にて治療
初診時、下顎の前歯が2本先天欠損でその分上顎の突出感が大きく、前歯2本が飛び出ていました。
患者様の声
10代女性

はじめる前はお金もたくさんかかるし、期間も長いので、どうしようか迷っていたけど、重なってたり、きれいじゃなかった歯並びがきれいに並んでいって、うれしかったし、矯正をしてよかったと思いました。
装置をつけてしばらくは痛いけど、その後は痛くなくなって、月1回行くのが当たり前になりました。
何かあった時は月1回以外にもみてもらえて、すぐに治してもらえました。
矯正歯科をして後悔はしないと思います!
40代女性

若い頃から歯並びが悪く、年と共に徐々にひどくなっていたため40歳後半にして、一般歯科で相談をしました。
院長先生より矯正は年をとってもできると説明を受け、この年でと思いながらも歯並びを治したい気持ちが強く矯正を始めました。
矯正をしている時は歯の痛みと口内炎との戦いでした
定期受診で装置を調整されると3~4日間は歯の痛みが強く、口内炎が何か所もできました。
2年間装置をつけて今は保定装置をつけています。
治療を受けて痛い思いもしましたが、人前で口元を気にせず、話ができるのは、何よりもうれしいです。
矯正を受けてきれいなった歯を、年をとっても大切にしたいと思います。
20代女性

初め歯並びが、本当に治るのだろうかと不安でした。また、歯に矯正をつけた時、痛いのと食事がしにくいので早く外したいとばかり思っていました。
でも、だんだん痛みもなくなり歯並びがちゃんとなっていくのがわかると嬉しくなりました。
今は、矯正治療も終わり、歯並びがとてもきれいになりました。
ありがとうございました。
40代女性
とがし歯科医院にお世話になり始めて10年になります。
私が矯正歯科に通うきっかけになったのは母でした。
矯正をはじめたのが32歳の時、母は65歳を過ぎていたでしょうか。
私が言うのも変ですが、母はおしゃれで、夜も顔のマッサージをかかさないような人です。
嫁に行き、時々しか顔を合わせる事はありませんが、今も76歳にはとても見えない若々しい母です。
そんな母が10年前私に矯正歯科の話しをしてきました。
私の歯並びの悪さがずっと気になっていたらしく、「自分も行き始めてとてもいいから、やっぱり口元が話すときにとても気になる。あなたもとがし歯科医院にいっておいで」と勧められました。
久美子先生はとても気さくで話しやすい先生でした。
装置をつけた頃は唇が痛かったり、食べ物がよく噛めなかったりと少々大変な事もありましたが、職場の人などから「歯並びがきれいね」と言われたりするとやっぱり矯正してよかったと思います。
重なっていた前歯に口紅がつく事もなくなりました。
以前より丁寧に歯を磨く習慣もつき、虫歯ができることもありません。
娘が今高校1年生になりますが、娘も今、矯正治療に通っています。
娘はお嫁に行く前に治療ができてとてもよかったと思います。(お嫁に行けるかはわかりませんが・・・)
本当はもっと小さい頃にすればよかったのですが、年頃にならないとなかなか綺麗になりたいとの思いは芽生えなかったようです。
親子三代でお世話になっている久美子先生にはとても感謝しています。
ホームページをご覧のみなさん、鹿島に歯科医院は沢山ありますが、とがし歯科医院お勧めですよ(^_^)
コンセプト
安全・安心の最新矯正治療をご提供します

医療法人祐歯会では矯正専門医が初診の治療相談から全ての治療を担当しています。
治療相談では、患者様一人一人に合った最新の矯正治療を、患者様のご希望を聞きながら一緒に考え、どの方法がベストか探すところから始まります。
治療期間、装置、治療費など患者様には心配なことも多くあります。
当院ではゆっくりと時間をかけて矯正治療について知ってもらった後、ご自宅でもう一度よく考えることをお薦めしています。
医療法人祐歯会には最新の歯科用CTもあり、通常のレントゲン写真では見えない骨内部まで三次元で見ることが出来ます。
セファロ写真(頭部X線規格写真)は当然のこと、治療が始まる前にCTや顎機能診断機、そのほか多くの診断機器で分析・計画を立てます。

治療が始まると色々な問題も出てきます。
歯磨きがしにくい、口内炎ができた・・。
医療法人祐歯会では常時急患対応しておりますのでお電話いただければ応急処置をいたします。
また、歯磨きも矯正専門のスタッフが上手に歯磨きする方法をお教えします。
治療が終了し、美しく歯並びが整い、しっかりかめるようになると矯正装置を外し、保定期間となります。
せっかくきれいに並んだ歯が後戻りしては大変です。
医療法人祐歯会では外から見えない保定装置を用い、定期検診に来院されていれば、万が一後戻りがあっても装置料金を頂かず再治療いたします。
患者様の歯並びをサポートしていきます。
私たちスタッフ一同は患者様と共に、一生自分の歯でしっかり噛める機能的な歯並びを作っていきます。
美しい歯並びは美しい笑顔の基本です。
口元を気にせず笑えることはあなたの人生を豊かにしてくれるでしょう。
医療法人祐歯会の設備案内
徹底した衛生管理
患者さんにより安全・安心な治療をご提供するために、当院では衛生管理を徹底しています。
よくある質問:矯正歯科Q&A
治療期間はどれくらいですか?
治療費同様に個人差はありますが、子供の治療では半年程度、お口全体に及ぶ矯正治療で2~2年半になります。
子供の治療の場合、あごの発育状態によっては治療終了後も定期的に経過観察をさせていただくことがあります。
治療費の支払い方法を教えてください。
治療費は高額になることから、現金だけでなくデンタルローンに対応しています。お気軽にご相談ください。
なお、装置料は一括払いとさせていただいています。
また別途、月1回の調整料が都度必要になります。
部分的な治療はできますか?
はい、一般歯科治療と組み合わせて行える部分矯正にも対応しています。
取り外しできる装置はありますか?
- はい、当院では取り外して使えるプレート型の装置を扱っています。
最新の3次元コンピュータで患者さんのお口の形に合わせて作られる装置です。
お口の状態によっては目立たないところに固定式の装置を装着するケースもありますが、取り外し式の装置を使えば、固定式装置のみで治療をするよりも違和感が少なく、見た目も大変自然になります。
- 患者さんご自身で自由に装置を取り外せるためブラッシングしやすく、虫歯や歯周病が不安な方にはおすすめです。ただし、一定時間以上装着していないと治療効果が薄れてしまいますのでご注意ください。
固定式の装置は痛いと聞きましたが、本当ですか?
装着直後の数日間は、歯を動かそうとする強い力がかかって痛みを感じることがあります。
しかし数日を過ぎると痛みはほとんど気にならなくなりますのでご安心ください。
治療期間中に虫歯になることはありますか?
固定式の装置があることで細かな凹凸が増え、食べかすなどの汚れがたまりやすくなります。
ブラッシングが十分でないと虫歯になってしまう可能性がありますが、定期的な調整のタイミングで歯の状況をチェックしますので大きな心配はありません。
それでも不安という方には、取り外しできる装置をおすすめしています。
中高年になってからも矯正治療はできますか?
はい、矯正治療は基本的に年齢制限がありません。
お口の状況によっては適用できる治療方法が限られることがありますが、年齢に関係なく歯並びや噛み合わせを正すことができます。
妊娠していても大丈夫ですか?
はい、基本的には問題ありません。
ただし、時期によってはレントゲン撮影を控える必要があり、また場合によっては治療用のイスに座り続けることが難しい場合がありますので、事前にご相談ください。
歯並びが元に戻ってしまうことはありますか?
装置を外したら歯は元の位置に戻ろうとします。2年程度は保定装置を装着し、歯並びが元に戻らないようにする必要があります。
目立たない装置はありますか?
はい、複数扱っています。歯の裏側に装着するタイプのものや、半透明なセラミックタイプのもの、取り外しできるマウスピース型のものなどがあります。
控えたほうがいい食べものはありますか?
粘着力の強いガムやキャラメルは、装置につまりやすくとれにくいので避けましょう。
また、フランスパンやおせんべいなど固いものを食べるときは小さくしないと、装置に力が加わって変形や脱落を招きかねません。
抜歯は必要ですか?
症例によっては抜歯が必要になることもありますが、なるべく歯を抜かない治療を行いますのでご相談ください。
矯正治療費のご案内
医療法人祐歯会の矯正治療費について
医療法人祐歯会では、患者さんの負担をなるべく抑えながらも的確な治療を行うことを重視しています。
クレジット払いに対応
矯正治療費は高額になることから、クレジット払いに対応しています。お気軽にご相談ください。
※装置料は一括払いとさせていただいています
※別途、月1回の調整料が都度必要になります
なお、矯正治療にかかった費用は医療費控除の対象となります。
税務署への申告で税金が戻ってくるため、忘れずに行いましょう。
治療費用例 ~A子様の場合
上顎前突症例

- 資料:4万円
- 上下メタルブラケット装置料:26万円
- 調整料(13回):5千円×13回=6.5万円
- 保定料:3万円
合計:39万5千円
治療費用例 ~B男様の場合
上顎前突症例

- 資料:4万円
- 上下セラミック装置料:36万円
- 調整料(24回):5千円×24回=12万円
- 保定料:3万円
合計:58万5千円
治療費のご案内(全顎治療の場合)
| 受診料 | 3千円 |
|---|---|
| 資料採得料 | 4~4.5万円 |
| 顎機能・筋機能 診断料 (顎関節診断料) |
5万円 |
| 装置代 | メタルブラケット(片顎) 13万円~ |
| セラミックブラケット(片顎) 18万円~ |
|
| 舌側矯正(片顎) 35万円~ |
|
| 補助装置代 | パラタルバー ※ 3万円~ |
| 矯正用インプラント ※ 3万円~ |
|
| ジャスパージャンパー ※ 3万円~ |
|
| 保定装置代 | 3万円~ (上下) |
| 調整料金 | 5千円~ (3週~1月に1回) |
| 舌側矯正8千円~ (3週~1月に1回) |
|
| CT撮影料 | 5千円~ (必要な場合のみ) |
※ 歯並びの状態によって使用の是非を判断します。
矯正治療の保険診療について
以下のような指定疾患によって起こった歯並び・噛み合わせの矯正治療や、あごの骨を切る手術が必要な顎変形症には保険が適用されます。
※ 保険での矯正治療は、厚生労働省に届け出た医療機関のみで行うことができます。
厚生大臣の指定する疾患 (平成22年4月現在)
- 顎変形症(顎離断などの手術前後における歯科矯正に係わるもの)
- 唇顎口蓋裂
- 鎖骨・頭蓋骨異形成
- トリチャーコリンズ(Treacher-Collins)症候群
- ダウン(Down)症候群
- ターナー(Turner)症候群
- 尖頭合指症
- 先天性ミオパチー
- エリス・ヴァン・クレベルド症候群
- 外胚葉異形成症
- 基底細胞母班症候群
- マルファン症候群
- 顔面裂
- 大理石骨病
- 口-顔-指症候群
- カブキ症候群
- スティックラー症候群
- ゴールデンハー(Goldenhar)症候群(鰓弓異常症を含む)
- クルーゾン(Crouzon)症候群
- ピエールロバン(Pierre Robin)症候群
- ラッセルシルバー(Russell-Silver)症候群
- ベックウィズ・ヴィードマン(Beckwith-Wiedemann)症候群
- ロンベルグ症候群
- 顔面半側肥大症
- 軟骨形成不全症
- 神経線維腫症
- ヌーナン症候群
- プラダーウィリー症候群
- 筋ジストロフィー
- 色素失調症
- メービウス症候群
- クリッペル・トレノーネイ・ウェーバー症候群
- ビンダー症候群
- ウィリアムズ症候群
診療時間


当院では患者様をお待たせすることの無いよう、予約制をとらせていただいています。
![<矯正歯科>佐賀県武雄市の歯医者[新武雄あおぞら歯科クリニック]](../img/logo-large.png)
















